
Dr. Camilo Llamoza Torres
Presentación
La misión del gabinete médico Llamoza Torres es brindar una atención personalizada, rápida y eficaz en la atención de las personas que nos consultan por su estado de salud física y mental en relación con las enfermedades del aparato digestivo, o la repercusión de otras enfermedades en él.
Como visión tenemos la de convertirnos en el lugar de referencia especializada para las enfermedades del aparato digestivo. Para lo cual nos mantenemos en la vanguardia de la información médica disponible y el uso de las técnicas complementarias de diagnóstico más recientes, principalmente no invasivas.

Equipo ultrasonográfico
Motivo para buscar al gabinete médico Llamoza Torres
Atención personalizada
Nuestro propósito es ofrecer una atención personalizada con la mejor relación posible entre el médico y toda persona que nos consulte, para lo cual ponemos a su disposición información médica actualizada que se apoya en los principales estándares de calidad en el ambiente sanitario.
Tecnología e investigación
Forma parte de nuestra filosofía poner al servicio del ser humano los avances en tecnología e investigación médica.
Para ello, somos propietarios de un equipo de ultrasonografia Acuson 2000 – Siemens, que cuenta con los paquetes de análisis avanzados de hígado, tanto con la tecnología Acoustic Radiation Force Impulse (ARFI) para elastografía hepática y de secuencias de impulsos de contraste, que permite la cuantificación de contraste hepático (que no hace uso de derivado de iodo ni otros contrastes alergénicos de uso común) para la caracterización de lesiones sólidas hepáticas principalmente; de esta forma somos uno de los pocos centros en España que ofrece métodos de diagnóstico no invasivos de última generación, y el único centro disponible para la práctica privada en la localidad con esta tecnología.
Intereses clínicos
Áreas de interés:
- Consulta de Hepatología: Enfermedades del hígado y vías biliares
- Métodos de diagnóstico por imagen:
- Ultrasonografía del aparato digestivo
- Elastografía hepática (ARFI)
- Contrastes ecográficos
- Hepatitis virales
- Oncología hepática
- Enfermedades del páncreas.
- Cribado y diagnóstico del cáncer gastrointestinal
- Enfermedades autoinmunes del aparato digestivo
- Alergias alimentarias
- Síndrome metabólico
- Enfermedades del Aparato Digestivo en general
Nuestra tecnología: Elastografía
¿Qué es la elastografía?
Es el estudio de una característica física (mecánica) de los tejidos: la elasticidad.
Cualquier fenómeno físico que aumente o modifique la histología hepática, por ejemplo; (grasa, edema, inflamación) modifica la elasticidad del hígado; es decir, la velocidad de propagación de una onda de pulso.
A mayor afectación histológica (más enfermo) , menor elasticidad del órgano en estudio; es decir mayor rigidez. Esto se correlaciona de manera muy precisa con el grado de fibrosis.
La elastografía con ecografía es una nueva modalidad de imagen con la que se reflejan en tiempo real los parámetros relativos a la organización estructural de los tejidos (elasticidad normal o anormal) respecto al tejido adyacente. De este modo, el análisis de la elasticidad de los tejidos aporta información que junto a la obtenida con la ecografía convencional y el modo-Doppler nos puede ayudar en el diagnóstico ecográfico.

Haciendo una elastografía en la clínica
¿Cómo se hace una elastografía?
Igual que en la ecografía convencional, descubrimos la zona de estudio y aplicamos gel para deslizar el transductor y obtener imágenes de ecografía y de elastografía, tanto en blanco y negro como en color.
Los datos obtenidos mediante la elastografía se procesan calculando el módulo de elasticidad del tejido en función de una serie de parámetros técnicos. Las distintas casas comerciales han puesto diferentes nombres comerciales a esta base física: Acoustic Radiation Force Impulse Imaging (ARFI), Shear Wave Point Quantification, elastografía cuantitativa ShearWave™, etc.
¿Cuántas modalidades de elastografía existen?
Existen 2 clases de sonoelastografía bien diferenciadas: la semicuantitativa (strain elastography) y la cuantitativa (shear-wave elastography).
La elastosonografía semicuantitativa adquiere primero los datos correspondientes a la anatomía tisular antes de la deformación o compresión. Posteriormente se aplica una pequeña presión mediante un compresor externo (transductor ecográfico) o una función fisiológica (respiración) y se adquiere otro mapa de la anatomía tisular (poscompresión o deformación). El desplazamiento del tejido deformado se calcula mediante la comparación de estos 2 mapas anatómicos y se refleja en un mapa de colores.
La elastosonografía cuantitativa mide el desplazamiento del tejido independientemente de la presión aplicada, al enviar microimpulsos acústicos con niveles mínimos de energía hacia los diferentes tejidos. De esta manera, se crea un mapa tisular relativo al desplazamiento de las estructuras adyacentes. La ventaja de esta con respecto a la anterior es obvia: no hay necesidad de comprimir con el transductor, por lo que existe menos variabilidad intra e interobservador, es decir, mayor reproducibilidad. Dentro de la elastosonografía cuantitativa podemos distinguir 3 subgrupos de imágenes: la «cualitativa», que nos ofrece un mapa de colores de la lesión con respecto al tejido adyacente, la «cuantitativa», que nos da un valor en kPa o m/s que nos proporciona valores numéricos acerca de la mayor o menor deformidad en una región de interés elegida por nosotros, y un último subgrupo que combina en una misma imagen las 2 anteriores, es decir, sobre un mapa cualitativo de colores podemos medir el valor de dureza del tejido en una región de interés.

Captura de una elastografía
¿Cuál es la utilidad de la elastografía?
Las diferentes técnicas de elastografía se basan en la hipótesis de que los tejidos blandos se deforman más que los tejidos rígidos, y que estas diferencias pueden ser cuantificadas y diferenciadas mediante imágenes. Este nuevo avance no solo incumbe al campo de los ultrasonidos, sino que continúa su expansión junto a otras técnicas de imagen como la resonancia magnética, siguiendo los mismos principios de excitación mecánica.
Ha demostrado ser útil para detectar y diagnosticar el cáncer de mama, tiroides, próstata, páncreas y tumores musculoesqueléticos. Además, es útil para filiar masas uterinas y afección focal y difusa hepática.
En el hígado se ha demostrado que tanto la esteatohepatitis no alcohólica, como las inflamaciones alcohólicas y víricas, muestran una rigidez directamente proporcional a la gravedad. La mayor rigidez del tejido se da en la cirrosis hepática, que es la etapa final de la hepatopatía crónica. Sin embargo, la elasticidad es mayor (menor rigidez) en hígados con infiltración grasa únicamente (esteatosis simple). La elasticidad se expresa como velocidad de corte (Vc) en m/s, o como presión en kilopascales (kPa). Los valores de elasticidad obtenidos en las diferentes afecciones están en íntima relación con la matriz que conforma la enfermedad. Los altos valores tanto de Vc como en kPa obtenidos en la fibrosis hepática pueden deberse a una mayor reticulación de la matriz extracelular hepática. De la misma forma que aumentan en las afecciones inflamatorias por el edema y las células inflamatorias asociadas. La disminución de estos valores en la esteatosis simple puede ser debido a las grandes vacuolas grasas que incrementan el espacio entre las células del hígado y reducen la densidad del tejido, lo que hace que el hígado sea más blando.
¿Qué limitaciones tiene?
La técnica de valoración cuantitativa de la elasticidad, aplicada al hígado, tendría mucho que ver con la elastografía hepática de transición o FibroScan®, la cual, aplicando una onda de ultrasonido obtiene su velocidad de propagación en el tejido a estudio y la expresa en kPa. Sin embargo, la elastografía tanto semi como cuantitativa presenta la gran ventaja de estar incorporada al sistema de un equipo de ecografía convencional, lo que nos permite ser más precisos en la elección del fragmento de parénquima hepático a analizar. De esta manera conseguimos evitar estructuras que falseen los resultados obtenidos, como la interposición de vasos sanguíneos y costillas o la inclusión de cápsula hepática, hechos que no se pueden controlar con el FibroScan®, ya que este no presenta una imagen asociada. Así mismo, con la elastografía podemos obtener resultados adecuados en pacientes obesos con un índice de masa corporal ≥ 40 kg/m2 e incluso en pacientes con ascitis. Estos supuestos anteriores constituyen 2 limitaciones actuales del FibroScan®.
¿Qué es la fibrosis hepática y cómo se estudia?
La fibrosis hepática es la respuesta histológica inespecífica a un proceso inflamatorio crónico desencadenado por múltiples entidades nocivas a la homeostasis hepática. La cirrosis hepática es el estadio final del desarrollo de fibrosis.
Los marcadores no invasivos de fibrosis son útiles para el cribado de la cirrosis, pero no lo suficientemente precisos para el estadiaje exacto de la fibrosis al día de hoy.
Los marcadores indirectos son de dos tipos principales: séricos y elasticidad.
- Inconvenientes: Elevado costo y no son universales.
- Ventajas: No invasivos.
La biopsia hepática permite la evaluación precisa del grado de fibrosis (de la muestra tomada); utilizando sistemas de puntuación semicuantitativos que consideran la desestructuración arquitectural y la formación de fibrosis tal cual. Por lo tanto, la fibrosis hepática idealmente debe ser interpretada en su contexto histológico completo.
A pesar de la utilidad de la biopsia hepática; los marcadores séricos no invasivos han logrado establecer con precisión la diferenciación entre fibrosis significativa y no significativa y se correlacionan con la progresión de enfermedad en pacientes cirróticos o hepatopatía crónica.
Hay que tener siempre presente que la biopsia hepática además de ser invasivo, puede presentar un error de muestreo y de observación. A excepción de la cirrosis en la que microfragmentos puede ser suficiente para el diagnóstico, una longitud de 25mm se considera óptima, aunque a partir de 15mm en varios estudios es considerada suficiente.
El uso de puntuaciones ha disminuido el error de observación.
Entre sus complicaciones, las más frecuentes son el dolor moderado y transitorio, asociado a disconfort y ansiedad. Las complicaciones severas son hemoperitoneo, peritonitis biliar y neumotórax son raras (menos de 0.3 a 0.5%). La muerte es extremadamente rara, pero se describe en cirrosis avanzada, tumores hemorrágicos e importantes comorbilidades. Se prefiere la biopsia transyugular en pacientes con cirrosis avanzada y trastornos de la coagulación cuando estén indicados.
Referencias bibliográficas
- Khan MH and et al. Hepatology 2000; 31:513-520
- Bedossa Pierre (2010). Non-invasives markers of liver fibrosis: useful or useless?. En: Clinical dilemas in viral liver disease; Graham Foster y Rajender Reddy. (3-10). Singapore: Wiley Blackwell
- Guzmán Aroca F, et al. La elastografía: una nueva aplicación de la ecografía. ¿Cuál es su utilidad clínica? Radiología. 2012. Enlace web
- Bardou D, Boursier J, Cartier V, Lebigot J, Michalak S, Oberti F, Fouchard-Hubert I, Rousselet MC, Aube C, Calès P. First intetion to diagnose comparison of ARFI and Fibroscan in chronic liver diseases. Journal of Hepatology 2013. Vol 58 Suppl 1/S6.

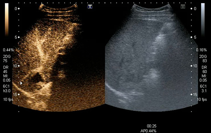
Imagen de un angioma atípico
Agentes de contraste ecográficos
La ecografía es la técnica de imagen más frecuentemente utilizada en la valoración de un número elevado de enfermedades tanto a nivel abdominal como a nivel musculoesquelético y vascular. Sin embargo, en la práctica diaria con frecuencia los hallazgos ecográficos no permiten llegar a un diagnóstico definitivo. La ecografía dúplex Doppler aporta información valiosa sobre la vascularización, ya que permite confirmar la permeabilidad vascular, la dirección y la velocidad del flujo, y en ocasiones ayuda en la caracterización de lesiones focales.
Sin embargo, tiene varias limitaciones, principalmente la detección de flujo lento o flujo de estructuras vasculares en situación profunda así como la imposibilidad de detectar adecuadamente la microvascularización tumoral o parenquimatosa. Cuando una ecografía no permite un diagnóstico concluyente suele ser necesaria la realización de otras técnicas de imagen, como la tomografía computarizada (TC) o la resonancia magnética (RM), o bien realizar una punción biopsia o aspirativa para llegar a obtener un diagnóstico definitivo. Tanto en la TC como en la RM, la administración de contrastes intravenosos permite evaluar características de la macrovascularizacioón y la microvascularización de los órganos y posibles tumores; es fundamental la valoración del tipo de captación para llegar al diagnóstico final.
La aparición de los contrastes ecográficos (CE), constituidos por microburbujas de gas estabilizadas con otras sustancias ha supuesto una revolución en el diagnóstico ecográfico de muchas enfermedades. En Europa están aprobados pocos contrastes para uso radiológico: Levovist ® que está compuesto de aire con galactosa y ácido palmítico como agente tensioactivo y SonoVue ® (Bracco), compuesto por hexafluoruro de azufre con una cápsula de fosfolípido. La baja solubilidad del hexafluoruro de azufre junto con su mayor estabilidad permite realizar estudios en tiempo real con SonoVue ® , cuando se utiliza un índice mecánico bajo sin destrucción de las microburbujas. Principalmente está reconocida su utilidad en la caracterización de lesiones focales hepáticas, el control postratamiento percutáneo de tumores y la valoración de la perfusión parenquimatosa de diferentes órganos, incluyendo enfermedad traumática, infecciosa o isquémica.
Efectos adversos
Los CE son muy seguros, con una incidencia de efectos adversos muy baja. Las reacciones de hipersensibilidad son mucho menos frecuentes que con los contrastes utilizados en tomografíacomputarizada(TC) o en resonancia magnética(RM). En una revisión de 23.188 estudios procedentes de 28 hospitales italianos, el índice de reacciones adversas graves y leves fue del 0,0086 y 0,125%, respectivamente, y no hubo ninguna muerte. Otra ventaja es la ausencia de nefrotoxicidad y de tirotoxicidad.
Se han descrito 3 muertes con el uso de Sonovue ® , todos en estudios de ecocardiografía en pacientes con cardiopatía conocida severa. Los efectos colaterales suelen ser leves (cefalea, náuseas, vómitos, mareos, alteración del sentido gustativo, sensación de calor, parestesias, eritema cutáneo, escozor) y autolimitados.
Contraindicaciones
Los CE no han sido aprobados en embarazadas ni, en algunos países (incluido España), durante el período de lactancia. No ha sido aprobado el uso intravenoso de Sonovue en pediatría. Debe evitarse su utilización 24h antes de la litotricia extracorpórea.
El hexafluoruro de azufre (Sonovue® ) está contraindicado en el síndrome coronario agudo reciente y en la miocardiopatía isquémica inestable, en la insuficiencia cardíaca aguda y en los trastornos graves del ritmo cardíaco. También está contraindicado en derivaciones cardíacas derecha-izquierda, hipertensión pulmonar avanzada, hipertensión sistémica no controlada y en pacientes con síndrome de distrés respiratorio del adulto.
No se recomienda el uso de los CE enecografía ocular ni en el estudio cerebral si el cráneo no está intacto por el riesgo de rotura microvascular, detectado en estudios experimentales.

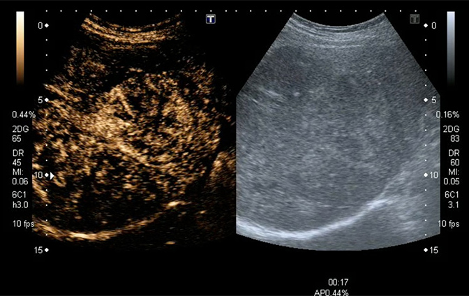
Imagen de lesión metastásica

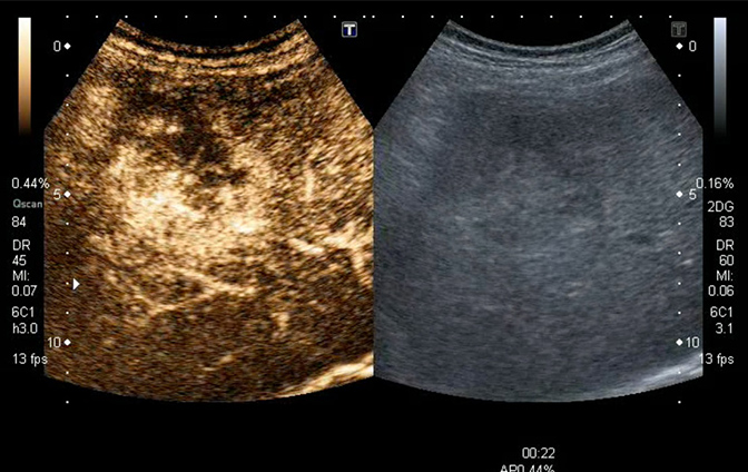
Imagen de un hepatocarcinoma
Indicaciones y recomendaciones en el estudio del hígado
- Caracterización de lesiones focales
- Detección de lesiones focales
- Guía y monitorización de tratamiento percutáneos
- Valoración de las complicaciones vasculares en el seguimiento del trasplante hepático. La ecografía contrastada es mejor que la ecografía Doppler para evaluar la permeabilidad de la arteria hepática y de la vena porta.
- Valoración de la permeabilidad portal en pacientes con mala transmisión del sonido.
- Estudio de permeabilidad de las derivaciones portosistémicas intrahepáticas transyugulares.
La caracterización de estas lesiones debe realizarse en conjunto con la historia clínica y datos de laboratorio. Cuando los hallazgos son típicos, especialmente en los casos de hemangioma, hiperplasia nodular focal, hepatocarcinoma o metástasis, el diagnóstico es muy probable. Cuando los hallazgos son atípicos debe recurrirse a otras técnicas. Las últimas guías de manejo no contemplan a la ecografía de contraste para el diagnóstico definitivo de hepatocarcinoma.
Limitaciones
Las lesiones que están muy profundas (>10 cm) o las situadas en hígados con mala transmisión del sonido, son difíciles de caracterizar.
Indicaciones y recomendaciones en el estudio del páncreas
- Evaluación de masas sólidas: la gran mayoría de los adenocarcinomas son hipovasculares, por lo que se visualizan hipoecoicos durante todas las fases del estudio. Los CE no aumentan la detección de lesiones, pero permiten definir mejor el tamañoo y los márgenes de la lesión visualizada, así como la infiltración de los vasos peripancreáticos. Además, en la fase portal se puede explorar el hígado para la detección de metástasis hepáticas.
- Diferenciación entre adenocarcinoma y seudomasas en el contexto de pancreatitis (aguda o crónica). En la ecografía con contraste, los focos de pancreatitis realzan de forma similar al resto del páncreas, mientras que el adenocarcinoma permanece hipoecoico en todas las fases por la intensa reacción desmoplásica y la baja densidad vascular.
- Diferenciación entre seudoquistes y tumores quísticos: los seudoquistes muestran ausencia de realce en todas las fases, independientemente de su contenido interno en la ecografía basal. La cápsula puede realzar si el seudoquiste es reciente. En los tumores quísticos se observa siempre realce de tabiques o nódulos.
- Evaluación de zonas de necrosis en las pancreatitis agudas. Trasinyección de CE las zonas de necrosis se comportan como áreas hipoperfundidas y las pancreatitis focales como áreas normoperfundidas . Además las colecciones se identifican mejor que en la ecografía basal. La ecografía con CE se puede recomendar para pacientes alérgicos al contraste iodado o con insuficiencia renal, o pacientes de UCI que no puedan ser trasladados a la sala de TC.
La caracterización de estas lesiones debe realizarse en conjunto con la historia clínica y datos de laboratorio. Cuando los hallazgos son típicos, especialmente en los casos de hemangioma, hiperplasia nodular focal, hepatocarcinoma o metástasis, el diagnóstico es muy probable. Cuando los hallazgos son atípicos debe recurrirse a otras técnicas. Las últimas guías de manejo no contemplan a la ecografía de contraste para el diagnóstico definitivo de hepatocarcinoma.
Limitaciones
- El corto período de realce limita la ventana diagnóstica.
- El uso de CE no aumenta la detección de neoplasias.
- El intenso realce de los tejidos peripancreáticos dificulta la valoración de los tumores hipervasculares.
Indicaciones y recomendaciones en el estudio del intestino
La principal aplicación clínica en la enfermedad de Crohn es la cuantificación de la actividad inflamatoria, dato importante para monitorizar la respuesta al tratamiento. Varios estudios han demostrado una correlación muy buena entre CDAI (Crohn´s Disease Activity Index) y realce del asa tras la inyección de contraste. Los pacientes con enfermedad activa muestran realce completo de la pared o realce de las capas internas (mucosa y submucosa). Las medidas cuantitativas del realce de la pared intestinal mediante análisis de curvas brillo-tiempo son más objetivas y precisas, y se correlacionan significativamente con la actividad inflamatoria endoscópica. La valoración del realce permite determinar el grado de respuesta al tratamiento médico.
- Diferenciación entre estenosis inflamatoria o por fibrosis (tejido cicatricial), objetivando realce mural en las estenosis inflamatorias y ausencia o realce escaso en las fibróticas.
- Distinguir con seguridad flemones y abscesos en los casos en que haya duda en la ecografía basal. Los flemones realzan, ya que son masas inflamatorias, mientras que los abscesos son avasculares.
Limitaciones
- La valoración de cada segmento intestinal necesita una dosis de contraste.
- Necesidad de especificar el segmento intestinal que se ha estudiado, para evaluar el mismo segmento durante la monitorización del tratamiento.
Otras indicaciones:
Tiene utilidad clínica para el estudio del bazo, riñón, reflujo vesicoureteral, traumatismo abdominal, adenopatías, próstata, mamas, pelvis femenina entre otras.
Referencias bibliográficas
- Llamoza Torres Camilo Julio, Soto Escribano Pilar; Vignote Alguacil Marisa, Ángel Rey Jose Manuel, de Dios Vega Juan Francisco. Contrast-enhanced ultrasound for the characterization of focal liver lesions. Hepatology 2009; 50(4) Suppl.: 744A.
- Llamoza Torres Camilo J, Soto Escribano Pilar, Vignote Alguacil Marisa, Ángel Rey Jose Manuel, de Dios Vega Juan Francisco. Contrast-enhanced ultrasound in the diagnosis of hepatocarcinoma detected in patients with a focal liver lesion and liver disease. Hepatology 2009, 50 (4) Suppl.:1131A.
- Nicolau Molina C, Fontanilla Echeveste T, Del Cura Rodríguez JL, Cruz Villalón F, Ripollés González T, Baudet Naveros B, Velasco Marcos MA, Garre Sánchez C, Huertas Arroyo R, Hernández García L, Pitti Reyes SJ, Gómez Rodríguez RA, Calvo López MA, Maroto Genover A, Alvarez Bustos G, Poch Zatarain M, Talegón MeléndezA. Usefulness of contrast-enhanced ultrasonography in daily clinical practice: a multicenter study in Spain. Radiologia. 2010 Mar-Apr;52(2):144-52.